即拔即種案例
中秋節,本應是享受假期和烤肉的節日,C小姐卻在大快朵頤時牙齒崩落,再加上又是對美觀影響甚大的前牙。來到環宇,我們牙周病專科的余忠翰醫師先替患者做全口牙周健康狀況檢查,並拍攝口內數位照片與3D電腦斷層,做全面的評估,最後幫C小姐量身打造了一套治療計畫。
治療計畫內容
即拔即種 → 補肉 → 裝假牙 (實際治療時間因人而異,此案例僅供參考)
即拔即種
即拔即種就是指拔牙完,就直接利用拔牙後牙床自然留下的牙窩植入人工牙根,以微創手術出發的治療方式,跟一般傳統植牙手術比起來,需要切開的傷口面積小很多,不會動用到大面積的翻瓣手術,盡可能保留最多健康的牙周組織,能使療程時間縮短,適合牙周組織條件良好且有植牙需求的患者。
雖然和傳統植牙手術比起來快速很多,但是並不是每一位患者都適合,須由具有相當經驗的牙醫師評估條件是否合適進行。
追蹤
持續追蹤觀察三個月,等待植牙與骨頭整合,過程中都有配帶臨時牙,不會因為少一顆牙造成美觀上的影響。
補肉
牙齒或植牙周遭的牙肉是抵擋細菌侵犯的保護層,圍繞著植體周圍的牙肉厚度,如果不夠厚,不只會造成美觀上的不理想,還容易造成牙肉萎縮導致的內部植體或假牙露出;更會造成細菌容易穿過侵犯植體,患者得到植體周圍炎,也就是植牙的牙周病的機會明顯較高。
拔牙後會造成結締組織厚度逐漸變薄,不論功能性或是美觀性都會造成影響,甚至有可能會減少這顆植牙的使用年限,所以這項療程使得C小姐的牙齒狀況更加健康、完整。
配戴牙套
術後持續追蹤觀察二個月,等待軟組織穩定後,就能使用目前環宇院內最新科技:3D口內數位掃描取模,製作最後的全瓷冠假牙囉!
3D口內數位掃描取模,在可以達到同樣高度精準結果的同時,還可以讓患者免於傳統取模的異物感與印模材料硬化的等待時間。
完成之再把假牙鎖到植體上,確認咬合高度與假牙密合度都很沒問題,療程就完成了!療程結束後,C小姐不僅僅恢復了咬合功能,甚至在美觀方也無影響,身邊的親朋好友都稱讚看不出來是全瓷冠假牙,C小姐相當滿意!
照片1

牙齒崩落(評估日)
照片2

即拔即種暨補骨(手術日)
照片3

臨時假牙製作(手術日)
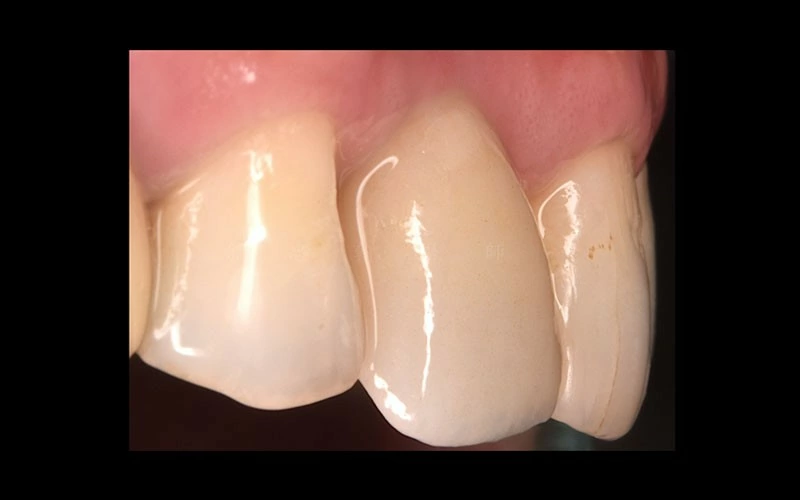
照片4

補肉後二個月,植牙全瓷冠完成 - 正面(假牙試戴日)
照片5

補肉後二個月,植牙全瓷冠完成 - 側面
(假牙試戴日)
(此照片有三顆牙齒,正中間為人工植牙)


