陳雨瑄醫師 

學經歷
  • 衛福部定牙體復形專科醫師
  • 美國密西根大學牙醫學院訪問學者
  • 前中華民國牙體復形學會祕書長
  • 前成功大學附設醫院口腔醫學部牙醫師
  • 前高雄醫學大學附設醫院牙科部醫師
  • 成功大學口腔醫學研究所碩士
  • 高雄醫學大學牙醫學士
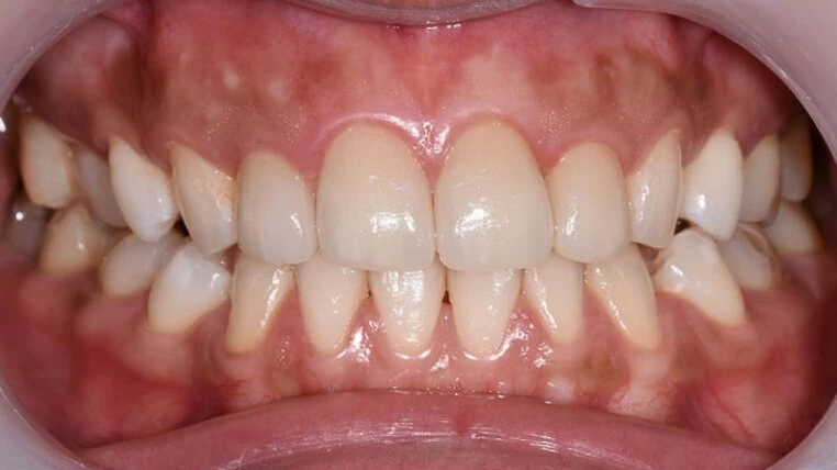
陳雨瑄 | 牙體復形專科

美白貼片案例分享

陳雨瑄 | 牙體復形專科
陳雨瑄 | 牙體復形專科陳雨瑄 | 牙體復形專科

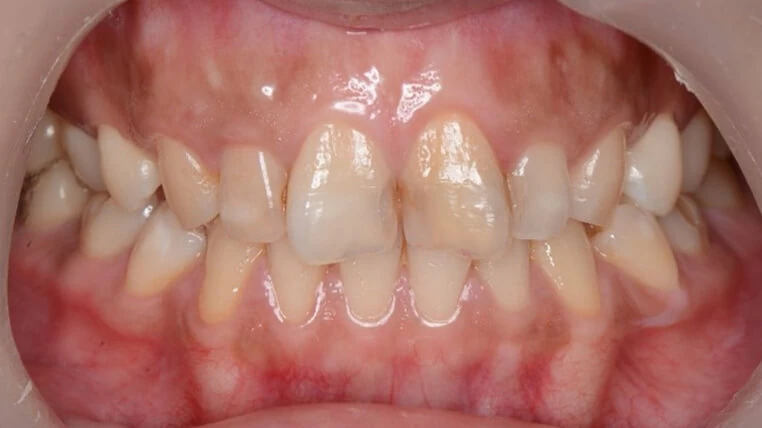
3D齒雕案例

陳雨瑄 | 牙體復形專科
陳雨瑄 | 牙體復形專科陳雨瑄 | 牙體復形專科
關閉